• Proposed
  • 2Under Assessment
  • 3Preliminary Assessed
  • 4Assessed
  • 5Published

Tolypocladium capitatum (Holmsk.) C.A. Quandt, Kepler & Spatafora

Search for another Species...

Scientific name
Tolypocladium capitatum
Author
(Holmsk.) C.A. Quandt, Kepler & Spatafora
Common names
Hombrecitos
Hongo Macho
Niños
Soldaditos
Cepurīšu milnene
IUCN Specialist Group
Cup-fungi, Truffles and Allies
Kingdom
Fungi
Phylum
Ascomycota
Class
Sordariomycetes
Order
Hypocreales
Family
Ophiocordycipitaceae
Assessment status
Proposed
Proposed by
Aída M. Vasco-Palacios
Assessors
Natalia Elizabeth Soto-Mesa, Juan Andrés Sánchez-Gaviria, Carlos Andelfo Contreras-Vega, Tatiana Sanjuan
Comments etc.
Inita Daniele

Assessment Notes

Justification

Tolypocladium capitatum es un parásito del género de hongos ectomicorrícicos Elaphomyces, que crece exclusivamente asociado a las raíces del roble (Quercus humboldtii). Este árbol es endémico de Colombia y presenta su mayor distribución en los departamentos de Boyacá y Santander. Según la Lista Roja de la UICN, Q. humboldtii se encuentra en la categoría de Preocupación Menor (LC), aunque sus poblaciones muestran una tendencia al decrecimiento.

T. capitatum cuenta con registros en el norte de Europa y Norteamérica, mientras que en Sudamérica se han documentado pocas ocurrencias (10 aprox), tres de ellas en Colombia como especímenes preservados y con secuenciación genética disponible en MycoPortal. Existe material morfológicamente similar en Estados Unidos, México y Costa Rica; sin embargo, se requieren análisis moleculares adicionales que permitan confirmar su identidad, debido a su similitud con T. longisegmentatum.

En Colombia no existen evaluaciones sobre el estado de la población de T. capitatum. No obstante, dada su estrecha asociación con los robledales, se infiere una disminución de sus poblaciones como consecuencia de la fragmentación continua de estos bosques, causada principalmente por la expansión de la frontera agropecuaria. Aun así, los registros disponibles en diferentes regiones del país, son suficientes para no catalogarla como una especie Vulnerable.

De igual manera, la presencia de T. capitatum está directamente ligada al nivel de conservación del bosque y, por ende, a la presencia de su hospedero.


Taxonomic notes

La taxonomia de Tolypocladium há variado durante décadas. Kobayasi (1832), consideraba estas especies como parte de Cordyceps, abarcando unicamente C. ophioglossoides y C. capitata. Posteriormente, entre 1941 y 1957, Kobayasi, Mains y Imai separaron las especies conocidas a partir de una clave dicotómica, basándose en caracteres diagnósticos, como la pared, tamaño y forma de las partesporas, la adherencia al huésped y el tamaño y forma del área fértil.
En 2007, Sung y Spatafora, propusieron el nuevo genero Elaphocordyceps para un subclado de Ophiocordycipitaceae que parasita al genero fúngico Elaphomyces y a algunas especies de artrópodos (P. ej., ninfas de cigarras y larvas de escarabajos). Finalmente, Quandt et al. (2014), asignaron el nombre genérico Tolypocladium a todas las especies que integraban Elaphocordyceps y Chaunopycnis.
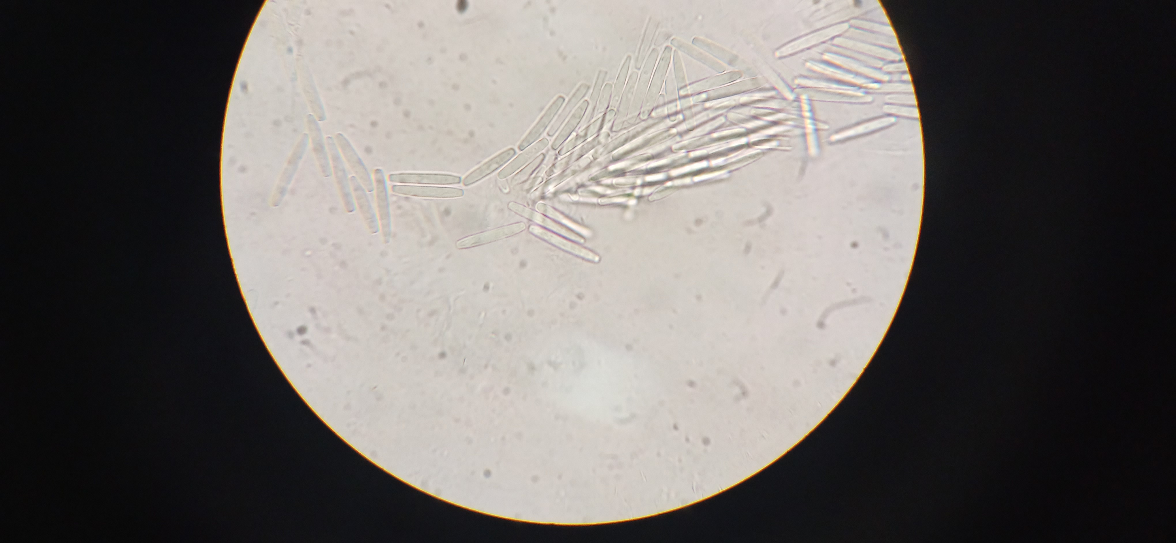
Las especies de Tolypocladium capitatum se caracterizan por producir estromas simples, solitarios y dispersos. El área fértil es capitada, con superficie punteada o mamilada, color marrón oliva a negro oliva, aspecto viscido o subviscido, con interior solido de color blanco. El estípite es cilíndrico, fibriloso, color curry yellow, con ligeros tonos peach o cinammon buff, con interior solido o hueco, de color blanco o amarillo claro. Crece sobre Elaphomyces. Presenta partesporas truncadas o fusiformes (21-16 x 3-4 µm), siendo mas pequeñas que T. longisegmentatum. Ascas unitunicadas, cilíndricas y peritecios grandes, ovalados, globosos o periformes, con cuello y generalmente inmersos.


Why suggested for a Global Red List Assessment?

Tolypocladium capitatum es un hongo parásito de las trufas ectomicorrícicas del género Elaphomyces, las cuales crecen exclusivamente en bosques de robledal. Aunque en Europa y Norteamérica existen numerosos registros, en Colombia el primer reporte de T. capitatum fue realizado por Gustavo García en 1986 y posteriormente corroborado por Tatiana Sanjuán en 2019, tras ser colectado de manera furtiva en un bosque de roble del municipio de Santa Rosa de Osos, Antioquia.

Asimismo, se encuentran cinco ejemplares depositados en el Herbario de la Universidad de Antioquia, recolectados entre 1990 y 2013, de los cuales solo tres cuentan con análisis moleculares disponibles en MycoPortal.

Los registros más recientes de T. capitatum provienen de fragmentos de bosque de roble, pequeños relictos actualmente amenazados por la minería y la expansión de la frontera agropecuaria en el municipio de Arcabuco, Boyacá.

Por otro lado, además de parasitar las falsas trufas ectomicorrícicas y formar asociaciones con los árboles, los hongos de este género pueden ser entomopatógenos y son valorados por sus propiedades medicinales. Destacan su actividad antimicrobiana y antifúngica, así como su capacidad para producir compuestos de interés farmacológico, entre ellos ciclosporina A, tolipoalbina, tolipina e hidróxido de ciclosporina D, entre otros. Estos compuestos presentan importantes propiedades antitumorales, antiinflamatorias, antifúngicas y/o antiparasitarias, y se han utilizado, por ejemplo, para prevenir el rechazo de aloinjertos.


Geographic range

Las especies de Tolypocladium son parasitas de los hongos ectomicorrizicos del genero Elaphomyces o de algunas larvas o pupas de lepidópteros o coleópteros. Los diferentes registros de Tolypocladium en Norteamérica y Canadá documentan que crecen asociados a raíces de pinos, musgos y troncos, por el contrario, los registros en Colombia, México y Costa Rica, lo documentan en bosques de Quercus


Population and Trends

La población presentara una tendencia estable si los bosques de robledal se conservan y se minimiza la fragmentación de los mismos por diferentes factores antropogénicos. Sin embargo, son necesarios muestreos en diferentes bosques de las otras regiones de Colombia que den un mejor panorama de la poblacion de T. capitatum, asi como tambien, realizar muestreos en bosque de roble negro que permita conocer si el hongo es una especie unica de robledal blanco o de ambas especies de roble de Colombia.

Population Trend: Stable


Habitat and Ecology

Dentro de un bosque de roble en estado de conservación y maduro, T. capitatum puede ser una especie común pero no abundante, son especies raras de encontrar y definen el grado de conservación del bosque. Crece entre la hojarasca y troncos, en bosques con algún grado de pendiente y en zonas húmedas o cercanas a quebradas. Son especies micopatógenas obligadas del genero de hongos Elaphomyces

Subtropical/Tropical Moist Montane Forest

Threats

La principal amenaza para T. capitatum es la disminución y fragmentación de su hábitat, debido al aumento de la frontera agropecuaria, así como la minería, la explotación maderera, la deforestación, los incendios forestales, la erosión y la expansión de las áreas urbanas.

Housing & urban areasSmall-holder farmingSmall-holder grazing, ranching or farmingAgro-industry grazing, ranching or farmingIncrease in fire frequency/intensity

Conservation Actions

Es necesario proteger los bosque de robledal de Colombia, incentivar la siembra de robles e intentar inocular hojarasca de roble con el hongo hospedero Elaphomyces, lo que permitirá la posterior formación de su mico parasito, Tolypocladium.
Por otro lado, es necesario fortalecer las acciones de conservacion y si es posible, realizar monitoreo comunitario, promoviendo la proteccion del bosque asi como la apropiacion social de los ecosistemas.

Site/area protectionResource & habitat protectionHabitat & natural process restorationNational level

Research needed

Son necesarios estudios moleculares que permitan diferenciar los ejemplares de Tolypocladium capitatum y Tolypocladium longisegmentatum presentes tanto en colecciones como en nuevas colectas. Aunque el crecimiento in vitro de hongos entomopatógenos es posible, en Colombia no se ha registrado el cultivo de ningún Tolypocladium. Además, se trata de una especie que depende de su huésped, por lo que se requieren más muestreos en distintas regiones del país, que permitirán determinar si existe especificidad por el huésped o si podría ocurrir un salto hacia larvas o pupas de algún lepidóptero o coleóptero, producto de diferentes factores bióticos o abióticos.
Son necesarios estudios ecológicos y taxonómicos que permitan aclarar la dinámica poblacional, la especificidad del nicho ecológico y las condiciones ambientales y edáficas para su fructificación y reproducción

TaxonomyPopulation size, distribution & trendsLife history & ecology

Use and Trade

Las especies de Tolypocladium han sido estudiada por su importancia medicinal, con la capacidad de producir ciclosporina A, tolipoalbina, tolipina, hidroperóxido de ciclosporina D, cilindromicina y toliprolinol. Todos con propiedades antitumorales, antiinflamatorias, antifungicas y/o antiparasitarias (Quandt et al., 2022). Asi mismo, han sido empleados en ceremonias mágico-religiosas en algunas comunidades indígenas de México.

Medicine - human & veterinaryResearch

Bibliography


Country occurrence

Regional Population and Trends

Country Trend Redlisted